来源:本站原创 发布时间:2025-02-24
随着脑血管疾病发病率的攀升,早期筛查成为预防脑卒中、动脉瘤破裂等严重后果的关键。高场强头颈部磁共振血管成像(MRA)凭借其独特优势,逐渐成为高危人群脑血管筛查的重要工具。以下从适用人群、检查优势及不足三方面,为您解析这项技术的应用价值。
01
适用人群:谁需要高场强头部MRA?
高场强MRA(通常指≥1.5T磁共振设备)适用于以下高危人群:
1. 慢性疾病患者:如高血压、高血脂、糖尿病患者,这些疾病是动脉粥样硬化、血管狭窄的主要诱因。

2. 有脑血管病家族史者:家族中有脑卒中、动脉瘤或血管畸形病史的人群,需定期筛查。


3. 出现神经系统症状者:如反复头痛、头晕、视力模糊、肢体麻木无力等,可能是脑血管病变的早期信号。

4. 高龄人群:50岁以上人群因血管老化,脑血管硬化风险显著增加。
5. 头部外伤或术后患者:需评估血管是否受损或术后恢复情况。
02
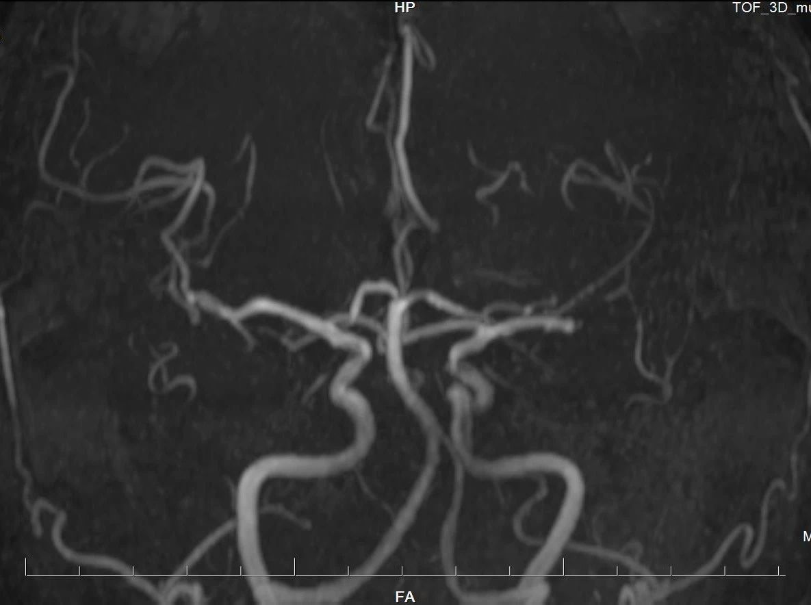
检查优势:为何选择高场强MRA?

1. 无创无辐射,安全性高。
无需注射造影剂(常规MRA)或仅需少量(增强MRA),避免了CT血管成像(CTA)的辐射风险和造影剂过敏可能,尤其适合孕妇、儿童及肾功能不全者。
2. 高灵敏度,捕捉微小病变。
高场强设备(如3.0T MRI)提供更高分辨率的图像,能清晰显示血管狭窄、动脉瘤(≥3mm)、血管畸形等病变。研究显示,其对缺血性脑血管病的诊断灵敏度达95.2%,优于低剂量CTA。
3. 全身评估,一“扫”多查。
一次检查可同时观察头颈部动脉主干及分支,结合平扫还能评估周围脑组织是否受损(如缺血灶),适合筛查脑卒中或复杂血管病变。
4. 动态血流信息,辅助治疗决策。
通过相位对比(PC-MRA)等技术,可分析血流方向、速度,为手术或介入治疗提供关键数据。
03
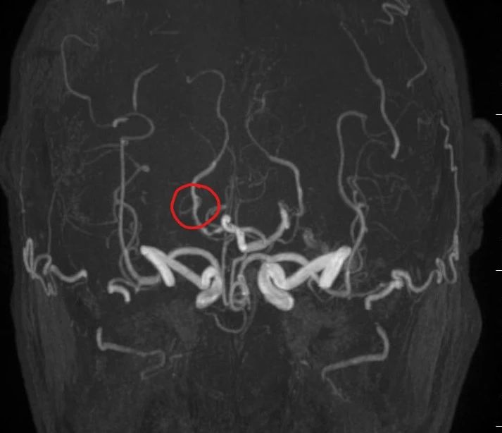
技术不足:需警惕哪些局限性?

1. 伪影干扰,小血管显示受限。
对重度狭窄、钙化斑块或直径<2mm的小血管,图像可能模糊或出现假阳性(如夸大狭窄程度)。
2.检查禁忌证较多。
体内有心脏起搏器、金属植入物者无法检查;幽闭恐惧症、无法长时间静卧者(如严重心肺疾病患者)也可能受限。
3. 耗时较长,舒适度欠佳。
单次检查约需10-20分钟,设备噪音大,部分患者可能因不适导致图像质量下降。
4. 无法完全替代DSA。
对复杂病变(如微小动脉瘤、血管夹层),仍需数字减影血管造影(DSA)确诊,但DSA为有创检查,风险较高。
总结:高危人群的优选筛查工具。
高场强头颈部MRA以其无创、高精度的特点,成为脑血管病高危人群筛查的“第一道防线”。尽管存在小血管显示不足、检查时间长等局限,但其安全性及诊断效能已得到广泛认可。对于疑似病变者,可结合CTA或DSA进一步明确,实现早诊早治,守护“头等大事”——脑血管健康。
温馨提示:

相关链接
为方便群众就诊,改善就医体验,近日,寿光和信医院影像科分区而治。
影像科一区位于病房楼一楼大厅东南侧,影像二区位于门诊楼西侧。
影像科简介
- 附件下载:





















