肾上腺肿物——隐藏在身体深处的“定时炸弹”
来源:本站原创 发布时间:2025-03-01
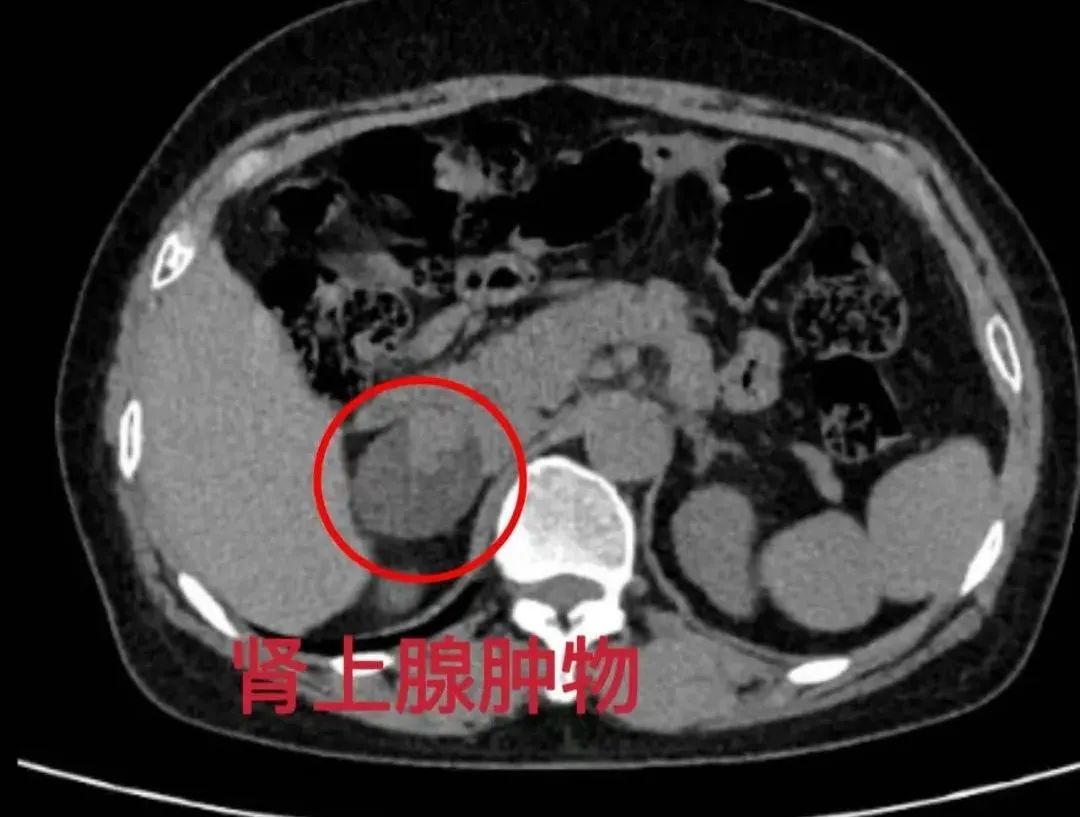
56岁常大姐平时身体硬朗,很少生病,在一次体检时意外发现肾上腺长了一个肿物,大小约4.1×3.3cm。这一突如其来的消息让常大姐感到震惊和不安,四处打听后来到寿光和信医院,泌尿外科梁化伟主任及其团队为期制定详细的手术方案,术后常大姐恢复良好,很快恢复了健康。

肾上腺肿物,听起来严重、复杂的疾病,正悄然影响着许多人的健康,而大多数人对此类疾病是完全陌生的。那什么是肾上腺呢?

肾上腺是位于肾脏上方的小型内分泌腺体,左右各一。虽然它们体积不大,但却肩负着分泌多种激素的重要使命,这些激素对于维持人体正常的代谢、血压等生理功能至关重要。
肾上腺长了肿物应该怎么办呢?
当肾上腺发生肿物,如果肿物没有任何功能,没有引起机体任何生理变化且大小<4cm,可无需处理,定期复查。但是肿物有功能并引发高血压、代谢紊乱、激素分泌异常等症状。需通过手术切除病变组织以恢复健康。手术切除是最有效的治疗手段。

腹腔镜下肾上腺肿物切除术,利用高清摄像头和精细器械精准切除病灶,体表仅有2-3个0.5-1cm的小切口,术后1-2天即可下床活动,住院时间缩短至3-5天,并发症发生率显著降低,具有创伤小、恢复快的优势。
发现肾上腺肿物您不要紧张,与医生沟通选择最合适您的治疗方案。

寿光和信医院泌尿外科在刘伟光院长及梁化伟主任的带领下,拥有一支经验丰富、技术精湛的医疗团队。能够为患者提供专业、优质的医疗服务。从术前的详细评估和准备,到术中的精细操作,再到术后的精心护理和康复指导,每一个环节都体现着我们的专业与用心。寿光和信医院泌尿外科全体医护人员为您的前列腺健康保驾护航!

联系我们:科室电话:0536-2235165
梁化伟主任:17753692686
- 附件下载:




