来源:本站原创 发布时间:2024-12-06
近日,寿光和信医院骨外科应用脊柱微创手术,为一名参加过抗美援朝战斗的耄耋老人解除了剧烈的难以忍受的腰腿疼痛,迎来了康复的曙光。
11月8日下午,骨外科接收了一位姓李的88岁高龄老人。李爷爷一周前出现腰痛和右腿剧烈疼痛,连最基本的日常洗漱都无法完成,即使在助行器的帮助下,独立行走也变得十分吃力,严重影响了日常生活质量。为改善现状,李爷爷及家属协商后一致决定前往寿光和信医院进行治疗。


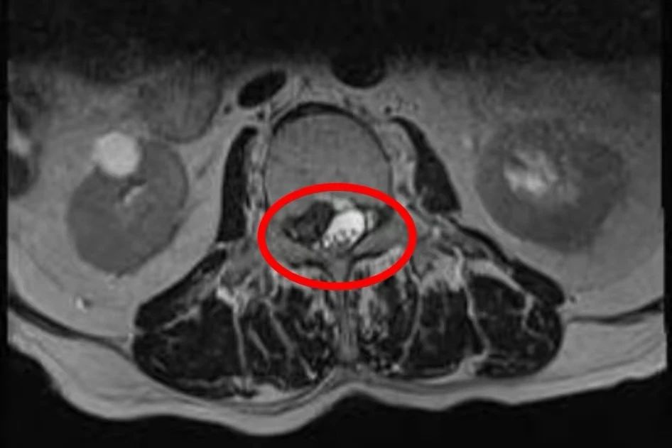
(↑巨大的脱出的椎间盘组织)
患者年龄较大、基础病太多,手术风险也远远高于常人,特别是脑动脉瘤,血压波动一旦引起破裂就会导致灾难性后果,但就目前来说,只有手术才能解决老人的疼痛,经过李刚主任及骨外科团队与相关科室认真讨论后,决定采用技术非常成熟的腰椎UBE微创手术。术程非常顺利,手术2个小切口,仅用了1个小时,术中取出了脱出到椎管的巨大的椎间盘组织。




?你若信任,我们必定全力以赴。?
寿光和信医院骨外科全体医护人员始终用精湛的技术、精益求精的精神,守护各年龄层患者甚至是百岁老人的骨骼健康,筑牢健康防线!

科主任介绍
— HEXIN HOSPITAL—

李刚 副主任医师
技术擅长:熟练掌握骨科常见病,多发病的诊治。擅长关节、脊柱、创伤等相关疾病的诊断和治疗。在人工关节置换,肩、膝、髋、踝关节等疾病的微创治疗方面积累了丰富的临床经验。
学术兼职:山东中西医结合镇痛委员会委员;山东省疼痛医学会第二届脊柱内镜专业委员会委员;山东省医师协会脊柱显微微创医师分会第一届脊柱内镜学组委员。
获得荣誉:全国第五届“白求恩式好医生提名者”、寿光市“十佳杰出医师”、寿光“最美医生”。
坐诊时间:周二、周六全天

科室介绍
— HEXIN HOSPITAL —
寿光和信医院骨外科是治疗骨科疾病的现代化专业科室,科室拥有一支医术精湛的医护队伍,其中资深主任医师、研究生导师3名,副主任医师2名,主治医师6人,执业医师2人;护理人员共15人,主管护师4人,护师4人,护士7人,病房位于医院病房10楼,现有开放床位54张,2023年被寿光市卫健委评为优秀医疗团队。
本科室注重各种疾病的全面开展,现主要开展的诊治及手术有:全髋关节置换术、全膝关节置换术、单髁置换术,胫骨高位截骨保膝治疗,肩关节镜下诊疗及镜下韧带修补及关节松解,膝关节镜下半月板缝合及韧带重建;颈(腰)椎间盘突出症及狭窄症、椎体滑脱等疾病的各种开放及椎间孔镜,UBE等微创手术治疗,椎体压缩性骨折行PVP,PKP 以及微创钉棒内固定;四肢外伤及骨折的钢板及髓内钉内固定及外固定架外固定;各种手、足踝外伤(包括断肢、指再植等);神经、血管、肌肉、肌腱、韧带损伤、皮肤及软组织缺损修复;骨病如老年性骨质疏松症及相关并发症等。

咨询电话
骨外科门诊:0536-2235039
病房办公室:0536-2235021
- 附件下载:




