预防猝死|快速识别冠心病
来源:本站原创 发布时间:2024-10-30
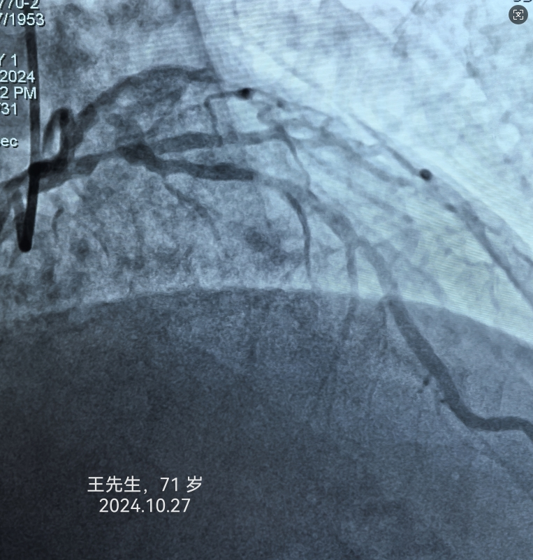
冠心病患者是猝死的高危人群。冠心病是中老年人最常见而且危害最大的心脏病之一,但随着生活节奏的加快和压力的增加,年轻人发病率也呈现增高的趋势。患者轻者可能无明显症状,但严重者可能会因此丧命。及时了解冠心病的早期症状对于早期发现和早期治疗有很大的帮助。
01

02

03

04

05

总之,冠心病作为中老年人的常见疾病,其危害不容忽视。通过了解冠心病的成因、诊断方法及治疗预防措施,我们可以更好地保护自己和家人的心脏健康。让我们从现在做起,从改善生活方式入手,共同筑起预防冠心病的健康防线。
温馨提示:
1、冠心病快速筛查预约方式:2235029(心内科门诊)
2、就诊时请空腹,完善肾功、甲功等相关检验项目(也可提供1月内外院化验结果),挂号到心内科就诊、经医生评估后开具检查单、检查用药。
3、到影像科二区(门诊楼西侧)候诊,检查结束、携带结果到门诊复诊。
- 附件下载:
















