【硬核升级】高端设备640层CT和3.0T核磁共振在寿光和信医院启用
来源:本站原创 发布时间:2024-10-01
精准医疗,影像先行。10月1日,寿光和信医院新购置的“神探”影像设备640层CT和3.0T磁共振正式投入临床使用,这是全省为数不多的高端影像检查设备,将进一步改善群众就医体验,缩短就医时间,更好地造福广大民众的生命健康。
“高精尖”医疗设备,为诊疗步伐按下“加速键”,先进的医疗设备是医院高质量发展的硬核保障。寿光和信医院联影640层高端CT在临床诊断中发挥了重要作用,为大量患者提供了快速、高效、智能的检查服务,尤其在心脑血管疾病、急危重症等领域,提供了精准的影像信息。这种技术进步不仅提升了诊断的准确性,也为国家推动的胸痛中心、脑卒中中心、肿瘤中心和创伤中心的建设提供了有力支持。


联影640层CT是中国CT届的“天花板”,集当今CT领域的顶尖科技于一身,将各项临床应用发挥到极致,为患者带来精准、舒适、安全的CT检查新体验。建立了心血管、神经、肿瘤、呼吸系统、泌尿系统及骨科专业等疾病的成像和低剂量筛查领域全新标准,真正实现全方位成像,结合AI人工智能技术,提高疾病诊断率。

凭借先进硬件平台和独有的AI冠脉追焦技术,不管是对于严重心律不齐、房颤、房扑,还是超高心率等一般CT做不了的心脏检查的情况,联影640层CT都可以获得高清的成像效果,助力精准临床诊断。

采用液态金属轴承技术的超大热容量球管,结合独有的低千伏、低毫安成像模式,联影640层CT可实现肺部、冠脉等全身各部位大扫描通量、微辐射剂量的体检筛查。?

联影640层CT采用宽体采集,一次检查即可获得全脑平扫图像、动静脉造影图像和灌注图像,不仅可应用于急诊缺血性脑卒中的影像评估,还可助力脑血管畸形、脑动脉瘤等其他脑血管病的结构和功能评估。

针对胸痛、脑出血、外伤、急腹症等多种急诊检查场景,联影640层CT提供全速急诊方案,检查时间最短化,图像评估直观化,为生命争分夺秒。

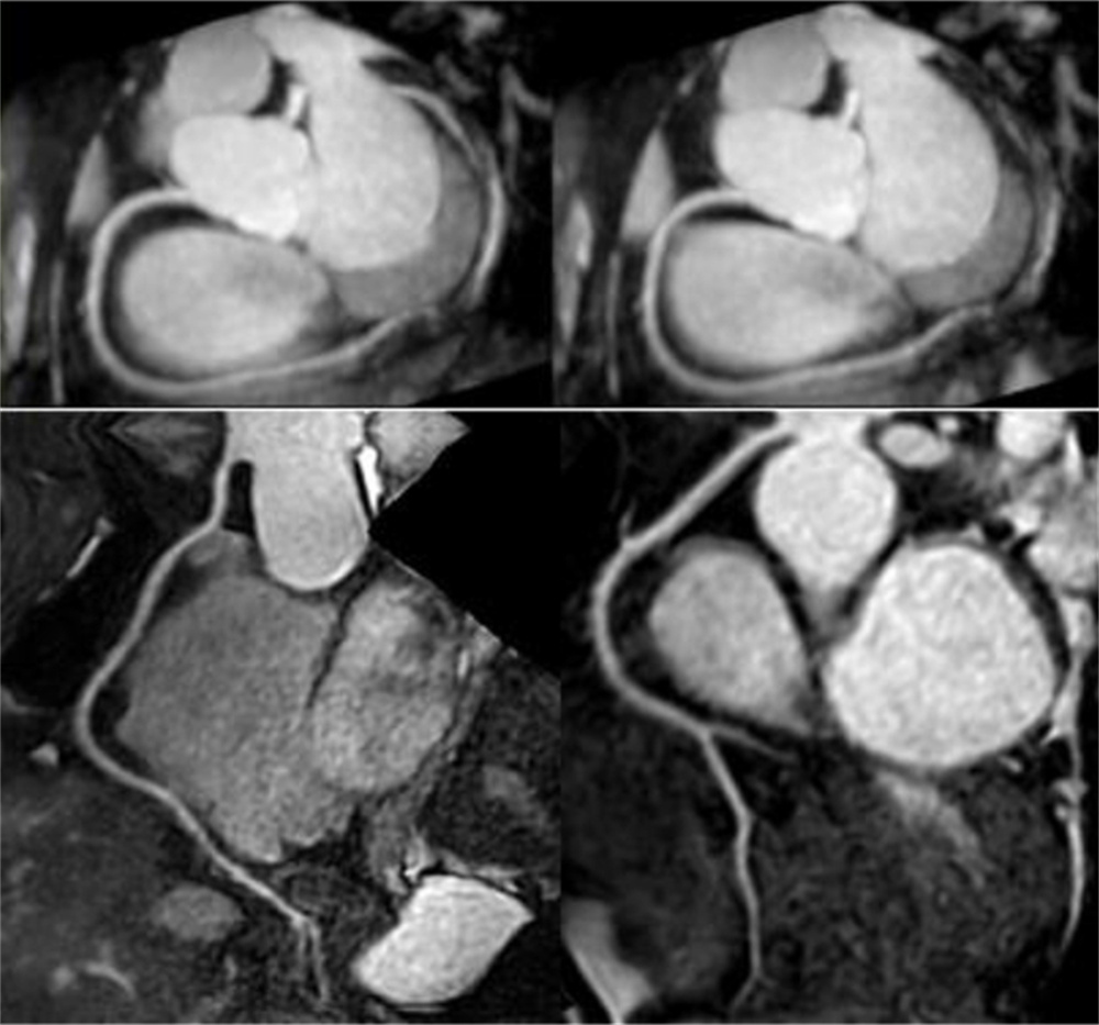
飞利浦大孔径光速Ingenia 3.0T磁共振是业内唯一同时具备"全数字高清成像平台和四维多源射频发射成像平台"的高端3T磁共振,具有病人检查舒适,扫描速度快,图像分辨率高的特点。在神经系统,骨肌系统,体部系统包括心脏和腹部等都有良好的应用和独到优势,为疾病的诊断及治疗提供更可靠、更丰富的信息,对于脑卒中和胸痛等中心的建设起到重要的作用。设备具备飞利浦独有的全数字线圈,可以实现三维全心不打药冠脉成像,无电离辐射和造影剂过敏风险,精准显示冠脉狭窄,有效排查临床无意义的冠脉狭窄(准确度达90%)。




磁共振冠状动脉检查无辐射,无需对比剂,对于缺血性心脏病,可以一次成像完整显示全心冠脉,便于直观诊断冠脉各分支情况。

在全身弥散加权成像的同时,可进行磁共振全身扫描,增加肿瘤检出敏感性。
临床应用范围:寻找恶性肿瘤原发灶;恶性肿瘤分期;全身转移灶筛查;淋巴结转移筛查;术后放化疗疗效监测;恶性血液肿瘤疗效观察;体检与肿瘤筛查。

亮血:血管狭窄筛查。黑血:血管壁斑块成像。
?
第三代无损加速磁共振成像-压缩感知(CS-SENSE),最快 32 倍加速,已将绝大部分临床成像转化为快速高清容积扫描。

鲁医广【2024】第0322-059-3706