大爱无疆|寿光和信医院成功救治一名多发伤患者
来源:本站原创 发布时间:2024-09-18
近日,一名外地来寿务工人员发生交通事故,致全身多处骨折。在患者无力支付住院手术费的情况下,寿光和信医院骨外科依然本着救死扶伤的精神,全力进行救治,并成功使其脱险。
患者经120接诊,完善相关辅助检查后收入寿光和信医院骨外科。检查发现,患者右锁骨骨折、左股骨颈骨折、左大转子撕脱骨折、右膝关节前交叉韧带止点撕脱骨折、右膝关节外侧副韧带损伤、颅骨骨折及全身多处皮肤挫伤。因患者是外地来寿人员,家属短时间内不能赶过来,并且患者家庭经济条件较差,没有缴纳住院手术费的能力。但是股骨颈骨折后,股骨头坏死发生几率较高,手术越早进行,越有利于减少发生股骨头坏死的几率。骨外科主任李刚始终牢记救死扶伤的神圣职责,本着为病人负责的原则,坚定地选择先行为患者实行手术治疗。


与患者本人充分沟通后,李刚主任率领骨外科团队,经过充分的术前讨论及术前准备,于2024年9月1日为患者在全身麻醉下实施了4个半小时的内固定手术治疗。“时间就是生命”,手术过程中,全体参与人员密切观察病情变化,敏锐发现早期异常指标,争分夺秒,一丝不苟地做好各项抢救救治工作,做到瞬间判断、正确评估、果断处理,赢得了抢救患者的“黄金时机”,确保了手术的顺利完成。


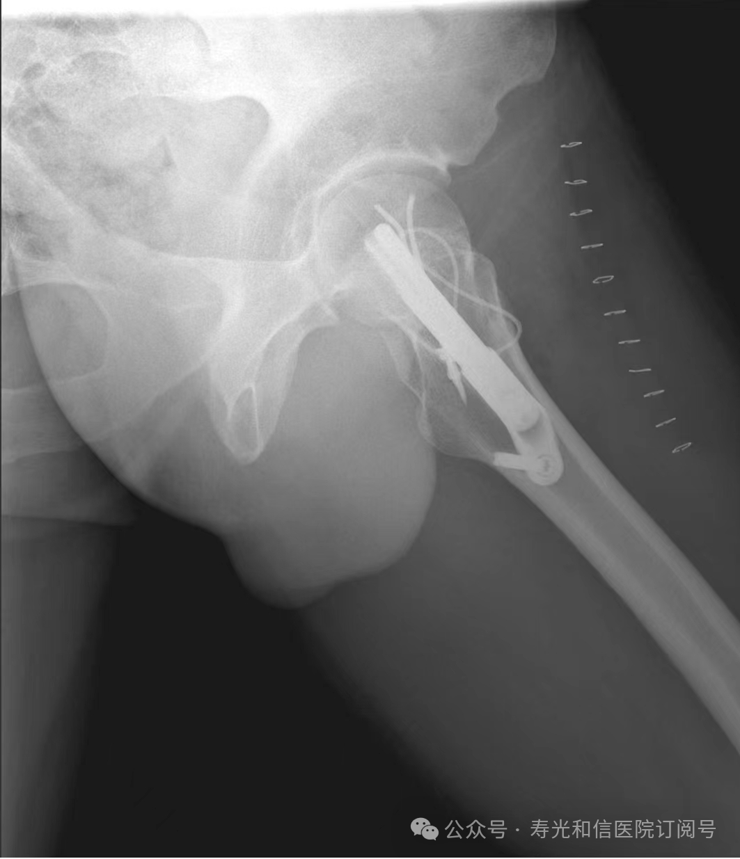
在为其进行股骨颈骨折治疗时,手术团队为其采取了股骨颈动力交叉钉系统,这是一种新型股骨颈内固定系统,属微创植入,较从前的技术具有手术时间短、创伤小、力学稳定、滑动加压等优点。同时,患者恢复快,可早期离床、不负重下活动,缩短住院时间及康复时间,有效降低患者股骨颈骨折不愈合发生率,降低长期卧床合并症和死亡率。


术后患者生命体征稳定,恢复良好,对寿光和信医院骨外科服务态度、诊疗水平均给予了高度评价。
多发伤是交通事故后常见创伤,复杂多变、抢救难度大、致残致死率高,寿光和信医院骨外科积累了较为丰富的成功救治经验,使院前急救、院内抢救、确定性手术治疗紧密衔接,让严重创伤、多发伤患者在“黄金时段”内得到迅速、规范、有效的救治,诠释了寿光和信人以病人为中心,救死扶伤、大爱无疆的精神。
骨外科简介
寿光和信医院骨外科是治疗骨科疾病的现代化专业科室,科室拥有一支医术精湛的医护队伍,其中资深主任医师、研究生导师3名,副主任医师2名,主治医师6人,执业医师2人;护理人员共15人,主管护师4人,护师4人,护士7人,病房位于医院病房10楼,现有开放床位54张,并于2023年被寿光市卫健委评为优秀医疗团队。

本科室注重各种疾病的全面开展,现主要开展的诊治及手术有:全髋关节置换术、全膝关节置换术、单髁置换术,胫骨高位截骨保膝治疗,肩关节镜下诊疗及镜下韧带修补及关节松解,膝关节镜下半月板缝合及韧带重建;颈(腰)椎间盘突出症及狭窄症、椎体滑脱等疾病的各种开放及椎间孔镜,UBE等微创手术治疗,椎体压缩性骨折行PVP,PKP 以及微创钉棒内固定;四肢外伤及骨折的钢板及髓内钉内固定及外固定架外固定;各种手、足踝外伤(包括断肢、指再植等);神经、血管、肌肉、肌腱、韧带损伤、皮肤及软组织缺损修复;骨病如老年性骨质疏松症及相关并发症等。
骨外科咨询电话
骨外科门诊电话:0536-2235039
病房医生办公室电话:0536-2235021
- 附件下载:




