关闭 科室动态
预防猝死|快速识别冠心病
2024-10-30    寿光和信医院


    冠心病患者是猝死的高危人群。冠心病是中老年人最常见而且危害最大的心脏病之一,但随着生活节奏的加快和压力的增加,年轻人发病率也呈现增高的趋势。患者轻者可能无明显症状,但严重者可能会因此丧命。及时了解冠心病的早期症状对于早期发现和早期治疗有很大的帮助。

01

认识冠心病

心脏健康的隐形威胁

    冠心病,全称为冠状动脉粥样硬化性心脏病,是由于冠状动脉(心脏供血的主要通道)发生粥样硬化,导致血管壁增厚、管腔狭窄,进而引发心肌缺血、缺氧的一种心脏病。它不仅是中老年人群体中的高发病症,而且由于其起病隐匿、进展缓慢,往往在被察觉时已造成较为严重的后果,因此被形象地称为“隐形杀手”。

02

冠心病的成因

多因素共同作用的结果

    冠心病的形成并非一朝一夕,而是多种因素长期作用的结果。主要包括以下几个方面:

    1、年龄与性别:随着年龄的增长,血管壁逐渐老化,弹性降低,更易发生粥样硬化。此外,男性相较于女性,其冠心病发病率更高,但女性在绝经后发病率也会显著增加。

    2、遗传因素:家族中有冠心病史的人,其患病风险会相应增加。

    3、不良生活习惯:长期吸烟、过量饮酒、缺乏运动、高脂高糖饮食等不良生活习惯,都是导致冠心病的重要因素。

    4、高血压、高血脂、糖尿病:这些慢性疾病会加速动脉粥样硬化的进程,从而增加冠心病的发病风险。

03

冠心病的诊断

精准识别,及早干预

    冠心病的诊断依赖于多种检查手段的综合评估,其中最为重要的是心电图和冠状动脉CTA、冠状动脉造影。

    1、心电图:作为诊断冠心病的基础检查,心电图能够反映心脏的电生理活动,帮助医生判断心肌是否存在缺血。虽然心电图在某些情况下可能无法直接确诊冠心病,但它对于评估病情、监测病情变化具有重要意义。

    2、冠状动脉CTA、冠状动脉造影目前是诊断冠心病的两大利器,可直接发现冠状动脉狭窄的程度,对于早期诊断和治疗、降低死亡率有不可取代的作用。那么该如何选择呢?

    当高度怀疑冠心病或怀疑有心肌缺血时,可能需要做CTA帮助判断。诊断冠心病的金标准是冠脉造影,但冠脉造影属于有创检查,而且费用相对较高,也存在手术风险,因此部分患者可能无法接受。相比冠脉造影而言,冠脉CTA作为无创的检查手段,也在临床上用得较多。

    当临床上患者出现心肌缺血的相关的症状,如活动后胸闷、胸痛等情况,但危险因素又较少,发作情况、发作时间以及发作时的症状不太典型,进行冠心病初筛时可以做冠脉CTA进行判断。另外对于高度怀疑冠心病的病人,临床症状较典型,如活动后诱发胸闷、胸痛,可以含服救心丸或硝酸甘油等药物缓解或休息可以缓解的病人,虽然认为做冠脉造影可能会更加合适,但是此类病人如果无法接受,也可以选择冠脉CTA作为初筛。

影像二区环境及设备:


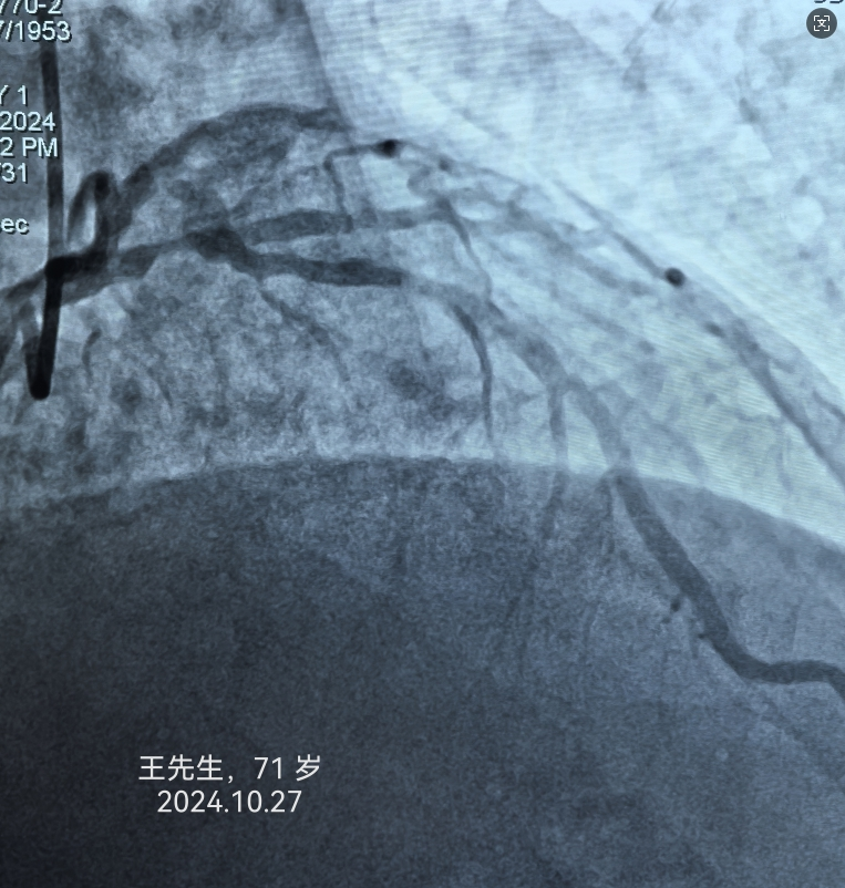
    寿光和信医院目前引进的中国联影640排高端螺旋CT天河960+,对冠脉成像有独特的优势,可无限制心脏成像,单心跳-高心率冠脉成像、单心跳-严重心律不齐、单心跳-自由呼吸扫描,成像效果极佳,与冠脉造影结果差距极小,并且检查时间3-5分钟、较之前缩短75%。部分冠脉CTA、冠脉造影结果对比如下:

    病例1:王先生,61岁,诊断“不稳定型心绞痛”。

    
    病例2:王先生,71岁,诊断“急性心肌梗死”。

04

冠心病的治疗

多管齐下,综合治疗

    冠心病的治疗需遵循个体化原则,根据患者的具体病情制定综合治疗方案。主要包括药物治疗、手术治疗及心脏康复训练三个方面。

    1、药物治疗:作为冠心病的基础治疗,药物治疗旨在降低心肌梗死的风险,改善心功能。常用药物包括抗血小板药物(如阿司匹林)、抗凝药物(如肝素)、降脂药物(如他汀类)等。患者需严格遵医嘱用药,定期复查,以评估治疗效果并调整用药方案。

    2、手术治疗:对于冠状动脉狭窄严重、药物治疗效果不佳的患者,可考虑手术治疗。常用的手术方式包括经皮冠状动脉介入治疗(PCI)和冠状动脉旁路移植术(CABG)。前者通过导管技术疏通狭窄的冠状动脉;后者则通过开胸手术,在冠状动脉近端与远端之间建立新的血流通道。

    3、心脏康复训练:对于病情稳定的患者,心脏康复训练是提高心功能、改善生活质量的重要手段。患者应在专业医生的指导下,进行适量的有氧运动(如散步、慢跑、游泳等),同时注重饮食调整和心理疏导,以促进全面康复。

05

冠心病的预防

从生活方式入手,筑起健康防线

    预防冠心病关键在于从生活方式入手,构建健康的生活模式。具体措施包括:

    1、戒烟限酒:吸烟和过量饮酒都是冠心病的危险因素,因此应戒烟,限制酒精摄入。

    2、合理饮食:保持均衡的饮食结构,减少高脂、高糖、高盐食物的摄入,增加蔬菜、水果、全谷物等富含纤维的食物比例。

    3、适量运动:根据自身情况选择合适的运动方式,如散步、慢跑、游泳、瑜伽等,保持适度的体育活动。

    4、控制体重:避免肥胖,通过合理饮食和适量运动控制体重在合理范围内。

    5、定期体检:定期进行体检,特别是血压、血脂、血糖等指标的监测,及时发现并控制慢性疾病。

    6、情绪管理:保持积极乐观的心态,学会管理情绪,避免长期处于紧张、焦虑等负面情绪中。

    总之,冠心病作为中老年人的常见疾病,其危害不容忽视。通过了解冠心病的成因、诊断方法及治疗预防措施,我们可以更好地保护自己和家人的心脏健康。让我们从现在做起,从改善生活方式入手,共同筑起预防冠心病的健康防线。

温馨提示:

    1、冠心病快速筛查预约方式:2235029(心内科门诊)

    2、就诊时请空腹,完善肾功、甲功等相关检验项目(也可提供1月内外院化验结果),挂号到心内科就诊、经医生评估后开具检查单、检查用药。 

    3、到影像科二区(门诊楼西侧)候诊,检查结束、携带结果到门诊复诊。 


鲁医广【2024】第0322-059-3706