口腔中的隐形“敌人”——阻生牙
来源:本站原创 发布时间:2024-09-12
在口腔中,大家都觉得牙齿发挥着重要的咀嚼功能,怎会变成敌人?怎会对我们的口腔健康构成威胁?那么,今天就来聊聊阻生牙那些事,明白哪些阻生牙会是隐形的敌人?阻生牙,简单来说,就是那些无法正常萌出或完全不能萌出的牙齿。这些牙齿由于受到邻牙、骨或软组织的阻碍,无法按照正常的生长轨迹生长,阻生牙最常见于下颌第三磨牙(也就是我们通常所说的智齿)和上颌第三磨牙以及上颌尖牙。

多数的智齿都是需要拔除的,有些“表现良好”的智齿则可以保留下来,比如正位萌出、具有正常咀嚼功能,没有对邻牙造成影响的智齿。有些完全埋藏于颌骨内部且暂无明显症状的智齿也可暂时保留,需遵医嘱进行观察。但一旦发生疼痛、反复发炎等情况时,要遵医嘱进行处理,考虑是否将其拔除。 对于长“歪”的智齿,口腔医生一般会建议尽快拔除,否则可能会导致邻牙龋坏、智齿冠周炎等问题,对口腔健康带来较大危害。

智齿主要有以下危害:
1.阻生智齿的牙冠周围容易出现食物残渣和牙菌斑的滞留,反复发炎会形成冠周炎,牙龈红肿疼痛明显,会影响咀嚼和吞咽,常伴有张口受限。严重时会出现全身发热和淋巴结肿胀等症状;
2.阻生智齿的牙冠容易形成龋坏而发生牙髓感染,产生剧烈疼痛。近中阻生智齿引起邻牙的龋坏和松动,并产生牙槽骨的吸收,发展为牙周炎;
3.特殊人群,如妇女备孕前最好做口腔检查,发现智齿位置不正,有潜在隐患的最好尽早拔除,否则孕期一旦发炎,治疗手段及孕期用药有限,因炎症及疼痛影响孕妇机体状态,进而可能会影响胎儿发育;备考考生如果前期智齿有发炎史,最好及时检查,是否需要拔除,不然考前压力较大,机体免疫力下降,易导致智齿发生冠周炎,引发机体不适,影响考场发挥;
4.埋伏阻生的智齿有一部分会导致含牙囊肿,造成颌骨骨质吸收。
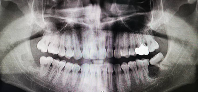
下面提供一例我们日常诊疗中接诊的病例:为智齿颊侧阻生,压迫邻牙牙槽骨吸收,引起邻牙松动,现已拔除阻生智齿,囊肿开窗减压,定期复查囊腔逐渐缩小,新骨逐渐形成,愈合良好。

左下第三磨牙颊侧阻生
- 附件下载:
- 上一篇:认识小儿手足口病
- 下一篇:确诊宫颈高级别病变,还要打HPV 疫苗吗?




