双耳Frank征——冠心病征象
来源:本站原创 发布时间:2020-08-14
双耳Frank征——冠心病征象
例1:
患者男,59岁,长期高血压病史,因劳力性胸痛求诊。心电图和心脏应激检测未见异常。冠状动脉造影发现冠脉主干栓塞,因此植入2个支架。术后患者病情平稳,随访期间未再出现胸痛。我们发现患者出现双侧Frank征,为具有诊断意义的耳垂折痕。折痕自耳珠呈45°角向后方延伸,横跨耳叶和耳廓边缘叶,预示患者可能患有冠心病。

Frank征被认为与早衰、真皮和血管的弹性纤维损失有关,尽管其敏感度低,但是60岁以下患者出现Frank征,具有较强的诊断意义。
(来源:N ENGL J MED,MARCH 6, 2014. 作者:美国路易大学George Griffing)
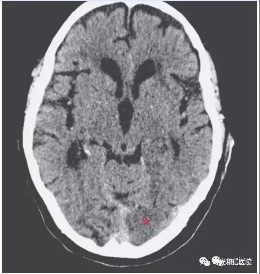
例2:
患者,男,84岁。既往有高血压、糖尿病和高脂血症病史,因视物异常6小时送入急诊室。查体发现右侧同向偏盲,无其他神经系统体征。此外,发现双侧耳垂斜向折痕——Frank’s征。

紧急头颅CT显示亚急性枕叶梗死(左侧大脑后动脉供血区),及多发陈旧性缺血灶(下图)。
Frank’s征最初被认为是冠状动脉疾病的征象,敏感性48%,特异性88%。随后发现其与其他心血管危险因素相关。
患者后经保守治疗,病情平稳,1周后出院,有持久性的视野缺损。

(来源:N ENGL J MED,JUNE 13, 2013. 作者:Gustavo Zapata-Wainberg, Jose Vivancos)
供稿人:影像科张磊
文章来源:医脉通
- 附件下载:
- 上一篇:儿童甲醛中毒的初期反应有哪些?
- 下一篇:儿科科普知识之秋季腹泻




